Mississauga Osteopathy Clinic | An Osteopathy approach for Pain Management

Mississauga Osteopathy Clinic

Osteopathy prioritizes your physical well-being, fostering mobility, pain relief, vitality, and overall happiness in Mississauga.

Top Osteopath in Mississauga

We provide expert care for knee osteoarthritis with a focus on restoring mobility, reducing pain, and improving your quality of life. Our Quality Osteopathy in Mississauga Ontario, offers to helping patients manage symptoms and maintain active lifestyles. By combining manual therapy, individualized exercises, and guidance on joint protection, we support your long-term knee health. Our goal is to help you remain active while minimizing the impact of osteoarthritis on your daily life.

Knee Osteoarthritis - Infographic - Mississauga Osteopathy Clinic

Top-Rated Mississauga Osteopathic Manual Practitioners

Amanpreet Kaur - Osteopathic Practitioner - CPMDQ Licensed Practitioner - ACMA Member
Amanpreet Kaur (CPMDQ), ACMA
Sharenpreet-Kaur-Osteopathy-in-Mississauga
Sharanpreet Kaur (D.O.M.P),

Knee Osteoarthritis (OA) is a common degenerative condition affecting the knee joint and a frequent cause of knee pain, often referred to as “wear-and-tear” arthritis. It can limit mobility and daily function, particularly in people over middle age. Previously, OA was seen as untreatable, but modern approaches can reduce pain, improve movement, and enhance quality of life.

Anatomy

OA primarily affects the articular cartilage, the smooth tissue covering the ends of the thighbone (femur) and shinbone (tibia). Healthy cartilage reduces friction and allows the knee joint to move freely. Beneath the cartilage is subchondral bone, which supports the joint.

When cartilage wears down, bone rubs against bone, causing pain and stiffness. Small bone spurs, or osteophytes, may also develop. These changes can limit movement and contribute to swelling and discomfort.

Knee Osteoarthritis Anatomy

Causes

Knee OA can result from:

  • Past knee injuries, including fractures, ligament tears, or meniscal injuries

  • Years of repetitive strain or abnormal joint alignment

  • Genetic predisposition

  • Obesity, which increases stress on the knee joint

Even minor stresses over time can contribute to cartilage degeneration, especially if the subchondral bone becomes too hard or soft, altering how the joint absorbs shock.

Symptoms

Knee OA develops gradually and can include:

  • Pain, especially after activity

  • Stiffness after resting or sitting

  • Swelling in the joint

  • Reduced mobility, making daily tasks challenging

  • In advanced cases, persistent pain that affects sleep

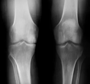
Diagnosis

Diagnosis typically begins with a medical history and physical exam. Imaging may include:

  • X-rays, to evaluate bone changes and rule out other knee conditions

  • MRI scans, to visualize cartilage, ligaments, and menisci

  • Arthroscopy, in select cases, allowing direct visualization of joint surfaces

knee osteoarth diagnosis02

Treatment

Nonsurgical Treatment

OA cannot be cured, but treatments can reduce pain and slow progression:

  • Medications: Acetaminophen, NSAIDs, COX-2 inhibitors, or supplements such as glucosamine and chondroitin

  • Injections: Cortisone or hyaluronic acid to relieve pain and improve joint lubrication

  • Physical therapy: Exercises to strengthen the hip and knee muscles, improve flexibility, and protect the joint

  • Assistive devices: Knee braces, shock-absorbing insoles, or walking aids to reduce pressure and improve mobility

Activity Modifications

Adjusting daily activities and low-impact exercise can protect the knee. Walking, swimming, or cycling may replace higher-impact activities. Knee unloading braces and heel wedges can help shift pressure away from arthritic areas.

Surgery

Surgical options may be considered for advanced OA or if nonsurgical treatments are insufficient:

  • Arthroscopy: Cleaning the joint and removing loose cartilage fragments

  • Proximal tibial osteotomy: Realigning the leg to redistribute pressure on the knee

  • Partial or total knee replacement: Replacing the damaged joint with an artificial prosthesis

Rehabilitation

Nonsurgical Rehabilitation

Therapy focuses on maintaining knee health, controlling symptoms, and strengthening supporting muscles. Home exercise programs are a key component, along with strategies for joint protection.

Post-Surgery Rehabilitation

Rehabilitation varies depending on the type of surgery. Patients are guided on weight-bearing restrictions, mobility, and strengthening exercises. Therapy progresses gradually, aiming to restore function, reduce pain, and enable safe return to daily activities.

Our osteopathy services in Mississauga focuses on hands on care to restore movement, reduce pain, and improve physical function. Each session includes a full assessment of posture, mobility, and injury history to guide precise treatment. Care targets joint restriction, muscle tension, and circulation limits to support faster recovery and daily comfort. Services support injury recovery, chronic pain relief, postural correction, and long term physical balance.

Ankle Pain and Foot Injury

Ankle Pain and Foot Injury

Ankle pain and foot injury disrupt walking, balance, and daily movement. Osteopathy addresses joint restriction, tissue tension, and movement imbalance to restore mobility and support stable, pain free function.

Hip Pain and Knee Injury

Hip Pain and Knee Injury

Hip pain and knee injury affect walking, sitting, and daily movement. Osteopathy focuses on joint mobility, muscle balance, and movement control to reduce strain and support long term function.

Children and Youth Injuries

Infants/Children and Youth Injuries

Infants, children, and youth injuries affect movement, posture, and development. Osteopathy focuses on gentle hands on care to address tissue tension, joint restriction, and movement imbalance for healthy growth and function.

Migraines and Headaches

Migraines and Headaches

Migraines and headaches disrupt focus, sleep, and daily function. Osteopathy focuses on reducing tension, improving circulation, and restoring movement balance to support consistent relief and long term comfort.

Maternity and Pregnancy

Maternity and Pregnancy

Pregnancy places increased demand on the body, affecting posture, joints, and movement. Osteopathy offers gentle hands on care to support comfort, mobility, and physical balance throughout maternity.

Upper and Lower Back Pain Injury 1

Upper and Lower Back Pain Injury

Upper and lower back pain injury affects movement, posture, and daily activity. Osteopathy focuses on joint mobility, tissue tension, and movement balance to reduce strain and restore functional comfort.

Shoulder Pain Injury

Shoulder Pain Injury

Shoulder pain injury limits arm movement and daily tasks. Osteopathy addresses joint restriction, tissue tension, and movement imbalance to restore mobility and support stable shoulder function.

Neck Pain Injury

Neck Pain Injury

Neck pain injuries restrict movement and strain daily activity. Osteopathy focuses on joint mobility, muscle tension, and movement balance to support comfort and functional stability.

Women Pelvic Health Wellness

Women Pelvic Health Wellness

Women pelvic health wellness requires clear guidance and focused care. At Mississauga Osteopathy Clinic, you receive structured osteopathic support designed to improve pelvic function, movement, and daily comfort.

Craniosacral Therapy

Craniosacral Therapy

Our Mississauga osteopathy clinic offers Craniosacral Therapy, a gentle hands-on approach that supports natural movement of the skull and sacrum. Using light touch, your osteopath helps release restrictions, improve nervous system balance, and enhance overall body function.

What We Treat

About City Of Mississauga Ontario

Mississauga, Ontario, is a thriving city located along the shores of Lake Ontario, just west of Toronto. As one of Canada’s largest and fastest-growing cities, it is home to a diverse and multicultural population. With Pearson International Airport, the country’s busiest airport, and major corporate headquarters, Mississauga has established itself as a key business and economic hub in Canada. The city’s modern skyline, featuring high-rise condominiums and commercial developments, is complemented by green spaces, waterfront parks, and vibrant cultural attractions.

One of Mississauga’s most notable landmarks is Square One Shopping Centre, one of the largest malls in Canada, attracting millions of visitors each year. The downtown core is rapidly evolving, with new residential and commercial projects reshaping the city’s landscape. Meanwhile, neighborhoods like Port Credit offer a charming, lakefront lifestyle with boutique shops, cafes, and marinas, making it a popular destination for both residents and tourists. Historic Streetsville, with its small-town charm, provides a glimpse into Mississauga’s past while offering modern amenities.

About Mississauga
mississauga ontario

Mississauga is also a city committed to education and innovation, with top-rated schools, colleges, and easy access to leading universities in the Greater Toronto Area. The city’s public transit system is expanding, with new LRT and GO Transit projects aiming to enhance connectivity and reduce congestion. With a strong focus on community development and sustainability, Mississauga continues to improve its infrastructure, recreational spaces, and public services to meet the needs of its growing population.

Beyond its economic success, Mississauga is a welcoming and family-friendly city with a strong sense of community. The city hosts numerous cultural festivals, outdoor events, and recreational activities, celebrating its diverse population. Whether enjoying waterfront trails in Lakeview, exploring Erin Mills and Meadowvale’s parks, or experiencing arts and performances at the Living Arts Centre, Mississauga offers something for everyone. With its blend of urban convenience and suburban comfort, it remains a top choice for those looking to live, work, and thrive in a dynamic and inclusive environment.

Major Street Intersections
Neighbourhoods
Postal Codes

Central Mississauga

  • L4Z,
  • L5B,
  • L5C

North Mississauga

  • L5N
  • L5M
  • L5V
  • L4Z
  • L5R

West Mississauga

  • L5L
  • L5M

East Mississauga

  • L4W
  • L4X
  • L4Y
  • L4Z
  • L5A

South Mississauga

  • L5G
  • L5H
  • L5J
  • L5K
  • L5E
Others

References

Cleveland Clinic. (2025, January 9). Osteoarthritis of the knee. Cleveland Clinic. https://my.clevelandclinic.org/health/diseases/21750-osteoarthritis-knee

Physiopedia contributors. (n.d.). Knee osteoarthritis. Physiopedia. https://www.physio-pedia.com/Knee_Osteoarthritis

Petersen, K., & Jørgensen, M. (2024). Osteoarthritis of the knee. In StatPearls. StatPearls Publishing. https://www.ncbi.nlm.nih.gov/books/NBK507884/

National Council for Osteopathic Research. (n.d.). What is osteopathy? https://ncor.org.uk/what-is-osteopathy/

Book an Osteopath Appointment With Us